SimplyScience Vom Milch bis zum Weisheitszahn

Also, wann fallen die Milchzähne von alleine aus? Vom ersten Wackeln bis zum Ausfallen kann es einige Tage oder einigen Monaten dauern. Befürchtest du, der Milchzahn fällt nicht aus oder wenn der Milchzahn noch drin ist, der neue Zahn aber schon kommt und es deinem Kind ernsthafte Beschwerden bereitet, wende dich an einen Zahnarzt.
Neues aus der Milchzahnstraße kaufen tausendkind.de

Milchzähne sind nicht nur kleine Meisterwerke der Natur, sondern auch der Anfang einer langen Reise durch die Welt des Lächelns und der Mundgesundheit. Von dem Moment an, in dem der erste Zahn durch das Zahnfleisch bricht, bis zu dem Tag, an dem die Zahnfee ihren ersten Besuch abstattet, ist jedes Kind Teil eines faszinierenden Prozesses.
Milchzahn ziehen Wann ist es bei Kindern erforderlich?

Also, wann fallen die Milchzähne von alleine aus? Vom ersten Wackeln bis zum Ausfallen kann es einige Tage oder einigen Monaten dauern. Befürchtest du, der Milchzahn fällt nicht aus oder wenn der Milchzahn noch drin ist, der neue Zahn aber schon kommt und es deinem Kind ernsthafte Beschwerden bereitet, wende dich an einen Zahnarzt.
Milchzahn Döschen

Im Alter von etwa einem halben Jahr zeigen sich bei Babys die ersten Milchzähne, voll ausgebildet ist das Milchzahngebiss in der Regel nach zwei Jahren. Im folgenden Ratgeber erfahren Sie unter anderem, wie sich das Milchzahngebiss entwickelt, welche Symptome Kinder beim Zahnen zeigen und wie Eltern die kleinen Zähnchen richtig pflegen, um.
Die Zähne

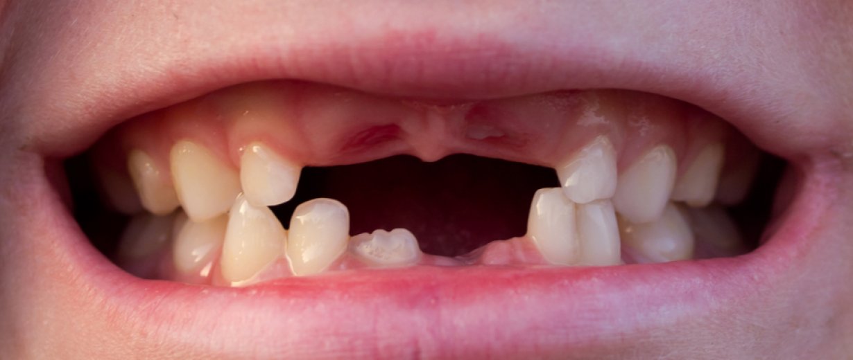
Der erste Wackelzahn wird oft gefeiert: Mit Zahnlücke sieht man gleich wie ein Schulkind aus. Nachdem der Milchzahn ausgefallen ist, schieben sich die bleibenden Zähne durch.
Milchzähne nicht wegwerfen Sie können Leben retten! RPR1.
Der Milchzahn macht somit den Platz für den neuen Zahn frei und dieser kann nun in die entsprechende Position wachsen. Die bleibenden Zähne wachsen in etwa in der gleichen Reihenfolge wie die Milchzähne. Daher fallen in der Regel auch als erstes die Scheidezähne aus. Zwischen elf und dreizehn Jahren sind meist auch die letzten Backenzähne.
Einzigartiges Schmuckstück, der erste Milchzahn als Anhänger, Erinnerung für dich und dein Kind

In der sogenannten ersten Wechselgebiss-Phase fallen die Milch-Schneidezähne aus, und die bleibenden Schneidezähne nehmen ihren Platz ein. Gleichzeitig oder kurz danach kommt hinter dem letzten Milchzahn jeweils der erste bleibende Backenzahn zum Vorschein. Jetzt kommt eine Pause, wir sprechen von der Ruhephase im Zahnwechsel.
Zuerst Verfehlender Milchzahn Stockfoto Bild von schätzchen, gesicht 36476244
Fällt der erste Milchzahn mit 3, 4, 5 oder 6 Jahren aus? Meistens fällt der erste Milchzahn im Alter zwischen 5 und 6 Jahren aus. An dieser Stelle kann man nicht pauschal sagen, ob das bei jedem Kind genau der Fall ist, denn das ist individuell abhängig und meistens fällt der erste Milchzahn im Alter zwischen 5 und 6 Jahren aus.
Wenn die Zähne beim Baby kommen the real Milchzahn Chart was Eltern beim Zahnen ihres Babys

Warum fällt ein Milchzahn nicht aus? Fällt ein Milchzahn Ihres Kindes nicht zum üblichen Zeitpunkt aus, ist das zunächst kein Grund zur Sorge. Dafür kann es verschiedene Gründe geben: Wenn die Zähnchen im Säuglingsalter spät kamen, verspäten sich die bleibenden Zähne häufig auch. Bei Kindern mit kleinem Kiefer muss der Kiefer erst.
Warum Ist Mundhygiene Vom Ersten Zahn An So Wichtig Zahnarzt In My XXX Hot Girl

Welcher Milchzahn fällt zuerst aus? Erfahre hier das Wichtigste in Kürze und wie du dein Kind unterstützen und begleiten kannst. Ihr Kind kommt bald in die Schule, aber es hat noch keinen zahn verloren: In dieser Situation befinden sich viele Eltern und warten - wie ihre Kinder - sehnsüchtig auf den Tag, an dem der erste Zahn endlich purzelt.
Loch im Milchzahn behandeln LD1 Zahnteam in Buer

Ab wann Zähne putzen? Sobald sich der erste Milchzahn zeigt, sollten Sie mit dem Putzen beginnen. Sie haben einen weichen Zahnschmelz und sind leicht angreifbar. Der weichere Zahnschmelz ist im Übrigen dafür verantwortlich, dass Milchzähne deutlich heller sind als die Bleibenden. Kariesbakterien haben hier leichtes Spiel.
Karies Milch Frontzähne DocCheck

Die Milchzähne sind der erste Satz an Zähnen, die ein Kind erhält. Lange Zeit hielten sich Gerüchte, wonach diese Zähne nicht so viel Pflege benötigen wie die permanenten Zähne. Doch ganz im Gegenteil : Die Milchzähne sind die Grundlage für die Gesundheit unserer bleibenden Zähne und unterstützen uns beim Erlernen einiger wichtiger Verhaltensweisen, wie zum Beispiel dem Kauen oder.
persistierender Milchzahn Kleintierzentrum am Stadtpark

Die Milchzähne sind Platzhalter für die Zähne des endgültigen Gebisses und legen damit den entscheidenden Grundstein für ein schönes und gesundes Gebiss. Deshalb ist es wichtig, sich bei den ersten ausfallenden Milchzähnen richtig zu verhalten. Was das bedeutet, erklärt der jameda-Gesundheitstipp.
Karies an einem Milchzahn oder nicht?

Mit fortschreitendem Wachstum drängen unterhalb der Milchzähne die bleibenden Exemplare an die Oberfläche. Die Wurzeln der Milchzähne zersetzen sich dabei allmählich und werden von den bleibenden Zähnen resorbiert. Damit wird der Milchzahn zum Wackelzahn und fällt schließlich aus. Dieser Prozess bereitet normalerweise keine Schmerzen.
Milchzähne Entwicklung DerKunstmaler

Unsere Milchzähne fallen aus, um Platz für die größeren Zähne zu machen. Die brauchen wir, weil unser Kieferknochen wächst und die Milchzähne mit der Zeit zu klein werden. Wenn wir ungefähr 13 Jahre alt sind, ist unser Gebiss komplett. In unserem Körper passieren aber noch mehr spannende Dinge.
Es ist ein großer Moment in jeder Kindheit, wenn der erste Milchzahn wackelt. Ist er draußen

Wann fällt der erste Milchzahn aus? Ab dem sechsten Lebensmonat beginnt bei vielen Babys der erste Milchzahn zu wachsen. Allerdings ist das Zahnen eine sehr individuelle Angelegenheit und so zeigen sich bei manchen Kindern die Milchzähne früher, bei anderen erst sehr viel später.